Media Contact

Breast Cancer Awareness Month in October is the perfect time to shine a spotlight on Professor Sandra O’Toole, who is working ahead of the curve to improve diagnosis and outcomes for breast cancer patients.
Professor O’Toole is a Senior Staff Specialist in Tissue Pathology and Diagnostic Oncology at Royal Prince Alfred Hospital and Professor of Pathology at the University of Sydney.
What motivates her to succeed is also deeply personal, because she was inspired to start her career in breast cancer research after seeing the terrible impact breast cancer had on her mother.
“Breast cancer is the most common cancer affecting women, but within this large group there are rare and understudied tumour types that pose particular challenges for patients and clinicians alike,” said Professor O’Toole.
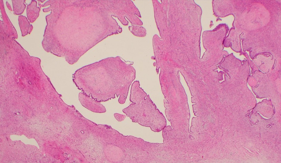
Professor O’Toole has dedicated much of her research to understanding these uncommon cancers, with a special focus on phyllodes tumours.
This week she will speak about phyllodes tumours and her research at the Australasian Society of Breast Diseases 14th Scientific Meeting in Queensland.
“Phyllodes tumours are rare fibroepithelial breast tumours that can be difficult to diagnose and manage, with a spectrum ranging from benign to malignant”.
“Along with my collaborators, we have been at the forefront of identifying molecular signatures that may help refine diagnosis, predict tumour behaviour, and guide more personalised treatment,” she said.
Her work in this area is focused on developing more reliable tests and better outcomes for patients affected by these challenging cancers.
In addition to her research on rare breast cancers, Professor O’Toole is the lead pathologist for the Breast Cancer Cell Atlas, an international initiative led by her long-term collaborator Professor Alexander Swarbrick at the Garvan Institute that is using cutting-edge single-cell and spatial technologies to map the cellular complexity of breast cancer.

In addition to her research on rare breast cancers, Professor O’Toole is the lead pathologist for the Breast Cancer Cell Atlas, an international initiative led by her long-term collaborator Professor Alexander Swarbrick at the Garvan Institute that is using cutting-edge single-cell and spatial technologies to map the cellular complexity of breast cancer .
“This project brings together researchers, clinicians, and patients to generate the most comprehensive view of breast cancer at the single cell and spatial level to date. The atlas is already revealing how different cell populations interact within tumours and how this shapes disease progression and treatment response,” Professor O’Toole said.
Professor O’Toole said one of the most rewarding aspects of her research is that is so closely tied to her diagnostic work as part of a multidisciplinary team at Royal Prince Alfred Hospital and The Chris O’Brien Lifehouse.
“The daily diagnostic challenges inform the direction of my research and I’m so grateful for the enthusiastic support of my clinical colleagues. Our collaborations really facilitate the efforts to improve diagnosis and outcomes for breast cancer patients.
“I get a lot of joy from working with a great team of scientists, medical and surgical cancer specialists. Together we’re tackling the challenges from all angles using basic and clinical science to find the right answers.”
In addition to her valuable work done in NSW Health Pathology and research, Professor O’Toole is standing for President of the Royal College of Pathologists of Australasia (RCPA), with elections to be held this month.
We wish her all the best in her endeavours to shape the future of the profession!